“医生,我的CT报告上写着‘脑萎缩’,是不是马上要老年痴呆了?”在影像科门诊,经常遇到拿着报告单焦急万分的患者。其实,“脑萎缩”这个词听起来吓人,但它就像头发变白、皮肤长皱纹一样,很多时候只是岁月留下的正常痕迹。今天,我们就来聊聊大脑的“年轮”到底藏着什么秘密。
一、两种脑萎缩:正常的和需要警惕的
简单说,脑萎缩就是脑组织体积变小。就像苹果放久了会轻微皱缩。但这种“皱缩”分为两种情况:
1.正常衰老型脑萎缩
•特点:60岁以后几乎人人都有,进展缓慢;
•表现:大脑表面沟回变宽,但日常生活不受影响;
•本质:就像白头发,是自然的生理过程。

图1:正常成人30岁(左)与80岁(右)的大脑标本
2.疾病信号型脑萎缩
•阿尔茨海默病:记忆“司令部”(海马体)快速萎缩,患者会明显记不住事、认不出人;
•中风后:病灶周围脑组织萎缩,可能伴有一侧肢体无力;
•长期酗酒:小脑萎缩,导致走路摇晃、手抖。

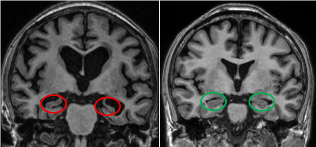
图2:头颅冠状位MRI图像(左图为56岁老年痴呆症患者,MTA4分,红色圆圈标注为明显萎缩的海马结构;右图为60岁健康成人,MTA0分,绿色圆圈内为正常海马结构)
二、AI火眼金睛,让脑萎缩评估更精准
以前医生靠肉眼观察CT/MRI片子,现在有了AI技术助力:
•精准测量:像尺子一样量出脑组织体积,精确到毫米;
•动态追踪:对比不同时期的检查,看出萎缩速度;
•辨别病因:帮助区分是老年痴呆还是其他原因。

图3:65岁患者,因认知功能降低,常规头颅MRI图像(左图)MTA评分0分,精神影像(右图)后处理显示其右侧海马萎缩超过10%,后证实为MCI(轻度认知损害)
三、加速大脑老化的“隐形杀手”
除了年龄,这些因素会让大脑提前“缩水”:
·慢性疾病:高血压、糖尿病等会损伤脑血管,就像生锈的水管影响供水,导致脑组织长期“营养不良”;
·不良习惯:长期熬夜、吸烟会破坏脑血管内皮,加速脑细胞老化;
·精神压力:持续焦虑、抑郁可能导致海马体体积缩小,影响记忆功能;
·脑损伤:头部外伤、脑炎等疾病会直接损伤脑组织,引发萎缩。
四、四招守护你的脑健康
·多动脑:读书、下棋等活动能刺激神经细胞连接;
·控慢病:严格管理血压、血糖,减少脑血管损伤;
·常运动:每周150分钟有氧运动可改善脑部血液循环;
·巧饮食:多摄入深海鱼(富含DHA)、坚果(含抗氧化物质)等食物。
最后提醒大家:体检发现脑萎缩不必恐慌,多数情况下它只是衰老的正常表现。但如果伴随记忆力骤降、行动不便等症状,建议及时到影像科进行AI量化评估,早发现、早干预。科室也会持续借助AI技术,为大家的脑部健康保驾护航。
医学影像科
科室简介
内江市第二人民医院医学影像科成立于1954年,经过70年的建设,已形成集高端CT、MRI、普通放射、胃肠、乳腺钼靶及远程影像于一体的综合性数字化科室,近5年超20余项的新技术应用填补了本地区多项影像技术空白,让内江影像站上了省级平台。现有医、技、护员工共50名,其中主任医师3名、副主任医师6名,主治医师10名,硕士生导师1名、影像学硕士8名,在读在职硕士3名,在本地区具备学科领头羊的品牌优势,属四川省医学影像甲级重点专科、内江市放射影像质量控制分中心、内江市临床医学影像诊断中心、四川省影像医学临床研究中心核心单位、西南医科大学硕士生导师点、内江市影像技术专委会主任委员单位、内江市影像学科带头人单位。现设有7个亚专业方向,其中神经精神及乳腺亚专业方向为本地区独具特色的优势方向,为临床提供可及、可用、高效、领先的影像技术平台支撑。
影像门诊坐诊时间
周一至周五
上午8:00-12:00
地址:新门诊大楼4楼39号诊室

蔡春仙
医学影像科主任
主任医师
硕士研究生
擅长胸部影像学及精神影像学。
四川省医学会放射专业委员会常委
四川省女医师协会医学影像专业委员会副主任委员
四川省妇儿保健协会放射专科分会常委
四川省抗癌协会肿瘤影像专业委员会常委
西部妇儿专科联盟学科带头人
四川省医学影像甲级重点专科项目负责人,内江市医学会放射专业委员会候任主任委员
内江市放射质量控制分中心业务主任,内江市学科带头人、内江市三八红旗手,内江卫生与健康职业学院影像技术专业学术带头人

刘爱民
医学影像科神经精神亚专业组组长
主治医师
硕士
擅长中枢神经系统影像学及精神影像学
内江市第五届放射学专委会委员。
四川省医学会放射学专委会第二届神经精神影像学组委员

邱林
主治医师
从事医学影像诊断工作10余年,对各系统常见病及多发病有丰富的诊断经验,擅长中枢神经系统影像学及精神影像学

苏思宇
医师
硕士研究生
从事医学影像诊断工作多年,对各系统常见病及多发病有丰富的诊断经验,擅长中枢神经系统影像学及精神影像学
供稿人:医学影像科 刘爱民
审核:医学影像科 蔡春仙
