很多人可能都有过这样的经历:在吃东西、打哈欠时听到关节“嘎嘣”响,这很可能就是颞下颌关节出问题在发出“警示信号”㕸。这有可能是医学所示的“颞下颌关节紊乱”。今天,我院影像科就从影像学的角度,带大家了解这个可能干扰我们日常生活质量的疾病现象。
1.颞下颌关节到底在哪里?
颞下颌关节位于我们面部两侧,耳朵前方。当你张嘴、闭嘴时,用手轻轻触摸耳前区域,能感觉到有一块骨头在滑动,那就是它了。它是人体中最常使用的关节之一,也是最容易发生功能紊乱和脱位的关节之一。
2.什么是颞下颌关节紊乱?
颞下颌关节紊乱是指关节及其周围肌肉群出现功能、结构或协调性异常。常见表现包括:
张闭口时出杂音:
①“嘎嘣”声:即弹响音,张嘴或闭嘴时听到“嘎嘣”一声,像扣动扳机或按动圆珠笔的声音。
②“沙沙”或“咯吱”声:即摩擦音,关节运动时发出“沙沙”或“咯吱”声,像踩在碎石子路上。
。
疼痛:关节区或咀嚼肌疼痛,尤其在咀嚼、说话或打哈欠时加重。
张不开嘴:即关节运动受限,张口困难、张口歪斜,或张口过程中突然“卡住”。
3.什么情况下需要就医?
如果只是偶尔关节杂音,没有疼痛或张不开嘴,通常无需特别处理,可先观察。但出现以下情况时,建议及时就医:
关节杂音伴随明显疼痛;
张不开嘴或张口过程中关节出现“卡顿”;
中老年人出现持续性关节杂音或疼痛,建议到影像科做MR检查哟,它可是评估关节结构与功能的超好方式哟。
4.影像科如何帮到你?
影像检查在颞下颌关节紊乱的诊断中起着关键作用!
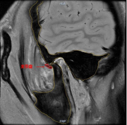
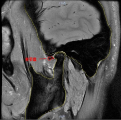
磁共振高清成像(≤2mm):对软组织分辨率高,可直观观察关节盘的位置、形态及运动情况,判断是否存在关节盘移位、穿孔或关节腔积液等。

(关节盘不可复性前移位的磁共振图片)
CT超薄层成像(≤1.5mm):清晰显示关节骨结构,如关节窝、髁突形态是否正常,有无骨质增生、磨损或关节炎表现。

(CT图片)
通过影像学评估,医生可以更准确地判断紊乱类型与程度,为治疗提供可视化依据。
5.该去哪个科室?平时如何自我护理?
建议到口腔科或影像门诊就诊开单检查。在家可尝试以下方法缓解症状:
用湿毛巾热敷关节区,每次15–20分钟,每日数次;避免咀嚼硬物、大口咬合;注意放松情绪,避免紧咬牙关;保持良好姿势,尤其是长时间使用电脑或手机时。
6.影像检查需要注意什么?
若需进行颞下颌关节MRI或CT检查,一般无需特殊准备。但如有以下情况,请提前告知医生:
体内有磁性的金属植入物(如心脏起搏器、人工耳蜗、金属关节等);
有幽闭恐惧症;
怀孕或可能怀孕(尤其是CT检查)。
我院影像科配备多台高分辨率CT设备,GE3.0T磁共振设备,可为颞下颌关节提供精细成像,帮助临床实现早诊断、早干预。颞下颌关节虽小,却关乎我们每天的咀嚼、说话与表情,可能影响你做事的心情,要重视哟!如果您或身边人有相关症状,建议及早就诊,通过科学的影像评估,为您健康保驾护航!
7.科室介绍:
内江市第二人民医院医学影像科成立于1954年,经过70余年的建设,已形成集高端CT、MRI、普通放射、胃肠、骨密度检测、乳腺钼靶及远程影像于一体的综合性数字化科室,近10年超20余项的新技术应用填补了本地区多项影像技术空白,让内江影像站上了省级平台。现有医、技、护员工共50名,其中主任医师3名、副主任医师6名,主治医师10名,硕士生导师1名、影像学硕士10名,在读在职硕士3名,在本地区具备学科领头羊的品牌优势,属四川省医学影像甲级重点专科、内江市放射影像质量控制分中心、内江市临床医学影像诊断中心、四川省影像医学临床研究中心核心单位、西南医科大学硕士生导师点、四川省医学会放射专委会常委单位,四川省妇幼保健协会放射专科分会副主任委员单位,四川省女医师协会医学影像专委会副主任委员单位,内江市放射医学专委会主任委员单位、内江市影像学科带头人单位。现设有7个亚专业方向,其中神经精神及乳腺亚专业方向为本地区具有独特的优势方向,为临床提供可及、可用、高效、领先的影像技术平台支撑,在全省有较强的影响力。

供稿:医学影像科 廖宽
审核:医学影像科 蔡春仙
