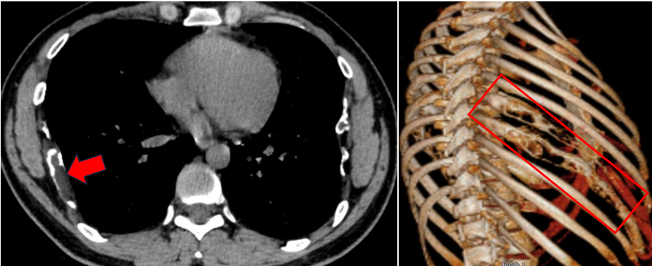
近期,我院收治1例中年男性患者,主因“发现双侧肋骨肿物伴右侧胸部疼痛半年”入住胸外科。 胸部CT检查提示:右侧第7、8及左侧第6、7肋骨骨质膨胀性破坏,形态不规则,考虑骨纤维结构不良可能。结合患者病情及病灶范围,考虑患者当前症状以右侧胸痛不适为主,影像学表现虽考虑良性病变,但病灶存在进一步进展风险,遂优先行胸腔镜下右侧胸腔第7、8肋骨肿物切除术,手术顺利,完整切除病变肋骨及相邻组织。术后病理:右侧第7/8肋纤维结构不良。术后恢复良好,顺利出院。
肋骨肿瘤并不多见,大部分患者多为体检发现或肿瘤较大时位于体表可触及,且绝大多数肋骨肿瘤为良性。目前,对肋骨肿瘤的治疗方式主要采取手术治疗,以达到根治的目的。在遵循肿瘤切除原则和安全的基础上,单孔胸腔镜下肋骨肿瘤切除安全、可行,手术切口小、创伤小,利于患者快速康复,提高了患者就医体验感。

单孔胸腔镜手术切口

术前胸部CT及肋骨三维重建
科室简介
我院胸外科始于1981年9月,开展普胸外科的各类手术,包括肺、食管、纵隔、胸壁、胸膜、心包手术等。先后与肝胆外科、泌尿外科、神经外科组建科室。于2013年开始单独成立“心胸外科”,我科共设床位38张,医护人员共25人,医师团队高级职称4人,中级职称2人,初级职称3人,护理团队高级职称2人,主管护师4人,护师7人,护士3人。独立建科前已在内江市率先成功地实施了胸腹腔镜下食管癌根治术、胸腔镜下肺叶切除、全肺切除、纵隔肿瘤等四级手术。
● 中国肺癌防治联盟肺结节诊治分中心
● 四川省肺移植联盟单位
● 四川省加速康复外科(ERAS)示范病房
● 四川省肿瘤诊疗质量提升联盟
● 川南心外科联盟成员单位
● 四川省肿瘤食管癌MDT联盟
● 四川省肿瘤肺癌MDT联盟
● 四川省肿瘤纵隔肿瘤MDT联盟
● 内江市第二人民医院博士工作站
● 唐忠心胸外科市级名医工作室

供稿:心胸外科 陈勇
审核:心胸外科 唐忠
