
2025年10月28日,内江市第二人民医院心血管内科团队在四川大学华西医院曾锐教授指导下,成功为一名复杂房颤患者实施FARAPULSE脉冲消融手术。手术由心血管内科联合麻醉科、介入室等多学科团队协作完成,全程仅用时1.5小时,较传统射频消融手术缩短近一半时间。患者术后体验感与舒适度显著提升,标志着医院在房颤治疗领域实现技术突破,将为更多患者提供高效、安全的诊疗服务。
患者情况与手术决策

患者为66岁男性,因“反复心悸1年余,加重1天”于我院就诊。入院完善相关检查后诊断为:阵发性心房颤动、冠状动脉肌桥、腔隙性脑梗死、胃食管反流、慢性胃炎。辅查显示:心脏彩超提示左房增大(LA38mm),主动脉前向血流稍加速,二、三尖瓣及主动脉瓣少量反流;肺静脉CTA(左心房+肺静脉)示左心耳呈鸡翅型,余未见明显异常。
主管医师肖猛结合患者病情,与家属充分沟通药物、传统消融及脉冲消融三种方案的获益与风险后,最终选择FARAPULSE脉冲消融手术。

手术过程:精准操作,高效完成
手术在患者全身麻醉下进行,步骤如下:
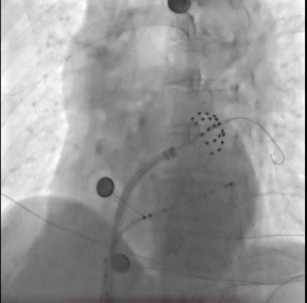
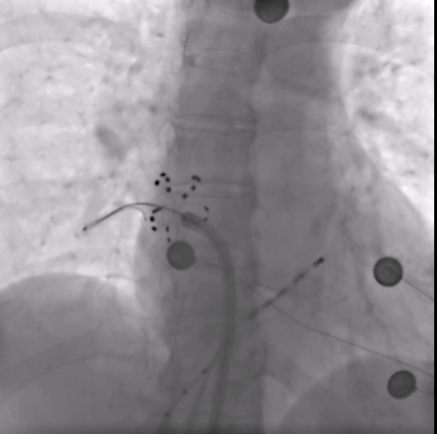
1.通路建立:经右侧股静脉穿刺置入冠状窦电极及鞘管,DSA引导下完成房间隔穿刺,建立左心房器械通路;
2.肺静脉造影:经导丝引导置入FARADRIVE可调弯导管鞘,对双侧肺静脉行造影明确解剖结构;
3.脉冲消融:置入FARAPULSE™脉冲消融导管,依次对左上、左下、右上、右下肺静脉及上腔静脉消融。消融范围覆盖肺静脉口部及前庭区域,采用网篮状与花瓣状两种消融方式,每支肺静脉消融4次,并对上腔静脉补充消融,累计完成34次有效消融;
4.效果验证:术中通过起搏验证法确认四根肺静脉均实现100%电隔离,手术圆满成功。
消融及导管操作全程仅耗时33分钟,既保障了手术效果,又显著提升了操作效率,充分体现团队精湛的导管操作技术。
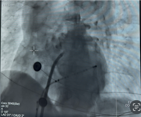
(右肺静脉造影) (左肺静脉造影)

(花瓣状消融) (网篮状消融)
(术中放电即刻高尖肺静脉电位脱落)

(术中消融后对肺静脉进行双向阻滞起搏验证电生理检查)
【科普小课堂】房颤危害与脉冲消融技术优势
房颤有哪些危害?
房颤是最常见的快速性心律失常,若未及时规范治疗,除心悸、头晕、胸闷等症状外,还可能诱发脑卒中、心力衰竭甚至猝死。
传统消融的局限性
目前,导管消融已成为药物难治性、有症状房颤的根治性手段,其中肺静脉隔离是手术核心目标。传统射频/冷冻消融虽为主流,但因能量不可选择性,易导致食管损伤、膈神经损伤、肺静脉狭窄等热相关并发症。
脉冲消融的革新性
在此背景下,FARAPULSE脉冲电场消融术(非热消融技术)应运而生。其通过超快速电脉冲产生强电场,利用不可逆电穿孔原理选择性损伤心肌组织,实现肺静脉电隔离,同时避免热损伤风险。相较于传统术式,该技术具有手术时间短、创伤小、并发症少三大优势,显著提升患者安全性与治疗体验,是房颤治疗领域的革新性突破。

技术落地,守护“心”健康
此次FARAPULSE脉冲消融术的成功开展,标志着我院心血管内科在房颤治疗领域迈入精准化、微创化新阶段,更彰显了团队深耕技术创新、勇攀医学高峰的进取精神。该技术依托不可逆电穿孔(IRE)原理,既能精准消融病变心肌,又能最大限度保护周围正常组织,相较传统术式显著提升安全性与有效性,为患者提供更优质的诊疗服务。
随着技术推广,将有更多房颤患者从中受益,重获规律心跳,拥抱更高质量的生活!
