当我们呼吸时,空气会通过气管,进入像树枝一样分叉的支气管,最终到达肺泡进行气体交换。健康的支气管富有弹性,内壁光滑,能有效清除分泌物。但如果这些“隧道”的墙壁因为反复的损伤和感染而变得脆弱、永久性地扩张,就会形成一种叫做“支气管扩张”的慢性肺部疾病。简单来说,支气管扩张就是支气管发生了不可逆的、异常的、永久性的扩张和增厚。
为什么会发生?—— “隧道”崩塌的元凶
支气管壁的损伤不是一朝一夕的事,通常是长期、反复“攻击”的结果。主要元凶包括:
1. 严重或反复的感染:这是最常见的原因。比如幼儿时期的严重肺炎、百日咳、肺结核或肺脓肿,这些感染会严重破坏支气管壁的结构,留下永久性的损伤。
2. 气道阻塞:肿瘤、异物吸入或淋巴结压迫导致气道长期堵塞,使得分泌物无法排出,继发感染,从而损坏支气管。
3. 免疫缺陷:身体免疫力低下,无法有效对抗呼吸道感染,导致感染反复发生。
4. 自身免疫性疾病:如类风湿关节炎、干燥综合征等,可能累及肺部,引发支气管扩张。
5. 遗传性疾病:囊性纤维化和原发性纤毛不动综合征。后者就像支气管内负责清扫垃圾的“小刷子”(纤毛)失灵了,导致痰液无法被正常排出,淤积而引发感染。

身体发出了哪些信号?—— 崩塌隧道的“警报”
支气管扩张的典型症状是“咳、痰、血”,但严重程度因人而异。
· 慢性咳嗽、大量咳痰:这是最核心的症状。咳嗽通常持续数月甚至数年,每天都会咳出大量黄绿色的脓痰。很多患者描述,在早晨起床或变换体位时,会咳出大量的痰,这是因为体位改变后,积存的痰液流动刺激了气道。
· 反复咯血:由于扩张的支气管壁上的血管非常脆弱,容易破裂,导致痰中带血丝或大口咯血。
· 呼吸困难:尤其在活动后感觉气短,因为气道被痰液阻塞和肺部结构被破坏所致。
· 乏力、消瘦、杵状指:长期慢性感染消耗体能,导致疲劳和体重下降。部分患者会出现“杵状指”,即手指或脚趾末端膨大,像小鼓槌,这是慢性缺氧的表现。
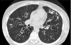
如何诊断?—— 给肺部拍个“高清CT”
当医生怀疑支气管扩张时,会进行以下检查:
1. 高分辨率CT(HRCT):这是诊断支气管扩张的“金标准”。它可以清晰地显示出支气管是否扩张、增厚,形态是“柱状”、“囊状”还是“静脉曲张状”,就像给肺部做了一个精细的三维扫描。
2. 痰液检查:检查痰液中的细菌种类,以指导抗生素的使用。
3. 肺功能检查:评估肺部通气和换气功能受损的程度。
4. 其他检查:如血液检查、支气管镜等,用于寻找潜在的病因。

如何治疗与管理?—— 重建“隧道”的清洁与秩序
支气管扩张的病理改变是“不可逆”的,这意味着被扩张的支气管无法恢复原状。因此,治疗的目标不是“治愈”,而是控制症状、减少急性加重、改善生活质量、防止病情进展。
1. 气道廓清疗法(物理排痰)—— 治疗的基石
这是最重要的一环,目的是帮助患者有效地将痰液排出来。
· 体位引流:通过调整身体姿势,利用重力使肺内不同部位的痰液流向大气道,然后咳出。
· 拍背/振动排痰:家人或使用设备叩击背部,震松粘附的痰液。
· 使用排痰装置:通过产生振动和正压,帮助痰液移动。
2. 药物治疗
· 抗生素:用于急性加重期,以控制感染。对于频繁加重的患者,可能会长期、间歇性地使用抗生素。
· 祛痰药:帮助稀释痰液,使其更容易被咳出。
· 支气管扩张剂:如沙丁胺醇,可以缓解气道痉挛,改善呼吸困难症状。
3. 手术治疗
仅适用于病变范围局限、反复感染或大咯血药物无法控制的患者,通过手术切除病变的肺段或肺叶。
与疾病和平共处的生活建议
· 戒烟并远离烟雾:烟草是呼吸道最大的敌人。
· 接种疫苗:接种流感疫苗和肺炎球菌疫苗,预防呼吸道感染。
· 均衡营养,加强锻炼:保持良好的营养状态和适度的体能,增强免疫力。
· 多喝水:充足的水分有助于稀释痰液。
总之,支气管扩张是一场需要长期管理的“持久战”。虽然被损伤的“隧道”无法复原,但通过科学、持之以恒的气道廓清和规范的药物治疗,绝大多数患者可以很好地控制症状,减少急性发作,像正常人一样生活、工作和学习。如果您有长期咳嗽、咳大量脓痰的症状,请务必及时前往医院就诊,明确诊断,开启规范的治疗之路。
供稿:全科医学科-孙杰
审核:全科医学科-阳远舟
2025年10月24日
