冠状动脉粥样硬化性心脏病(简称冠心病,CAD),仍是全球心血管疾病死亡的头号原因。2024年WHO数据显示,全球每年约900万人因CAD去世,占总心血管死亡的45%;中国心血管健康联盟(CCA)2024年统计,我国CAD患者超1300万,且发病率还在涨——农村地区冠心病发病率增速已超过城市,这与高血压、糖尿病、肥胖的高发密切相关。2019年我国每5个死亡病例中就有2个是心血管病,准确诊断冠心病非常关键。

日常医生会先通过心电图、运动负荷心电图(动态心电图)、心脏彩超做初步筛查。但要评估冠脉狭窄、精准诊断冠心病,还得靠更专业的影像技术——冠状动脉CT血管成像(CCTA)和冠状动脉数字减影血管造影(冠脉DSA,也叫CAG),这是医生最常用的两种方法。
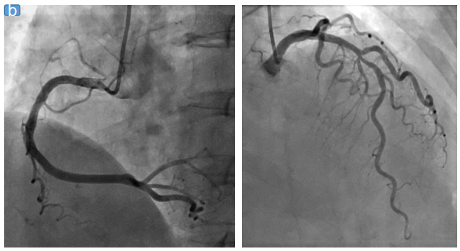
注:图a为冠状CTA图像;图b为冠状DSA图像
冠状动脉CT血管成像和冠状动脉血管造影有什么不同呢?
创伤性:冠脉CTA是无创或微创检查(类似普通CT),通过手臂静脉注射碘造影剂完成心脏扫描;而冠脉DSA是有创介入检查(需穿刺动脉),被称为诊断冠心病的“金标准”。
检查方法:冠脉CTA依赖64排以上螺旋CT设备,无需开刀;冠脉DSA则需DSA血管机,通过穿刺手腕或大腿根部动脉,将导管送至冠脉开口,注射造影剂后获取动态X线图像。
主要用途:冠脉CTA侧重“筛查与排除”——能评估中低风险人群的冠心病风险、排除疑似病例(结果阴性基本可排除冠心病),还能分析斑块性质(软/硬斑块)及范围;冠脉DSA则聚焦“精确诊断与治疗”——能明确狭窄部位和程度,是做支架(PCI)等介入治疗的前置步骤,且检查时可同步完成支架植入或球囊扩张。
优点:冠脉CTA优势在“安全便捷”——无创、门诊可做、几分钟完成,还能评估血管内外斑块,阴性结果可靠性高;冠脉DSA则胜在“精准与治疗一体”——准确度最高,能实时看血管动态,发现问题可当场治疗。
插图:设备图像


注:a为DSA血管机 b为64排螺旋CT机
检查怎么选?记住4句话!
既然两者都需要X线和碘造影剂,该怎么选?记住这4点:
1.初筛/排除冠心病→先做冠脉CTA(比如没症状但担心,或有轻微胸闷);
2.中低风险想“排除”→CTA结果正常=基本没冠心病,不用再做DSA;
3.已确诊需要治疗→直接做DSA(比如要放支架);
4.CTA发现重度狭窄/高危→必须做DSA(医生能精准判断狭窄度,当场治疗)。
一句话总结:CTA是“侦察兵”(查问题),DSA是“手术刀”(解决问题)!
当然每一位患者的病情不尽完全相同,存在个体差异,具体检查方法选择还需要临床医生经过一系列的分析、研判才能做出。有冠心病或疑冠心病患者请及时到专科医师处就诊,如需介入诊疗,内江市第二人民医院介入室会给你提供优质的诊疗服务。
就诊小贴士:
手机微信搜索“内江市第二人民医院”微信公众号-发信息-就医服务-挂号-找到相应科室(如心内科、影像门诊等),就能轻松挂号啦~
供稿:介入室 林永
