亲爱的朋友们:
随着岁末寒冬的到来,气温骤降,昼夜温差加大,电视、手机上关于今年流感症状非常重以及疾控中心不时发布的分级预警等信息的提示,您及家人是否对流感感到担忧与恐惧呢?别慌,今天我们结合《中国流感治疗与药物预防临床实践指南(2025版)》从认识流感、科学预防、精心护理、特别提示、服务承诺等方面为您准备了一份“流感优护指南”,帮助您和家人平稳度过这个流感季。

一、认识流感:
1.什么是流感:流行性感冒(以下简称“流感”),不同于普通感冒,它是一种由流感病毒引起的急性呼吸道传染病,传播迅速、季节性流行显著,对儿童、老年人、孕产妇以及慢性基础性疾病患者等高危人群的健康威胁尤为严重,可导致重症甚至死亡,给社会带来沉重的疾病。具有传播速度快、发病率高、症状重的特点。

2.典型症状包括:突发高热(体温可达39-40℃)头痛、肌肉酸痛、乏力、咳嗽、咽痛、鼻塞,部分患者可能出现恶心、呕吐、腹泻等消化道症状。

3.高危人群:指感染流感病毒后更易发生重症或并发症而需要住院的个体。儿童、老年人、孕妇、慢性病患者(如心脏病、肺病、糖尿病等)和免疫功能低下者。这些人群感染后易出现肺炎等并发症,需要特别关注。
4.非重症流感:表现为咳嗽、头痛、肌肉和关节疼痛、明显乏力、咽喉痛和流涕,可伴或不伴有发热,有时伴有胃肠道症状,但无任何重症流感的表现。大多数患者在1周内发热及其他症状可基本恢复。
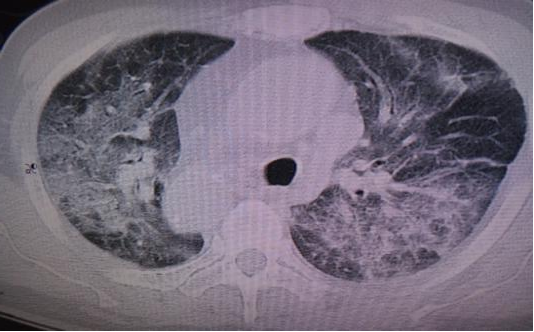
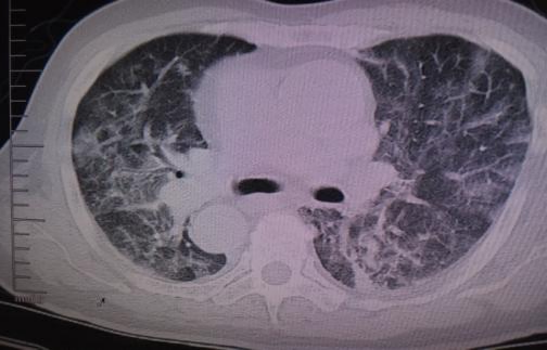
5.重症流感:流感病毒感染引起肺炎、发展为重症疾病[呼吸衰竭、急性呼吸窘迫综合征(acuterespiratory distress syndrome,ARDS)、感染性休克、心肌受累、中枢神经系统受累、多器官功能衰竭]或慢性基础疾病加重而需要住院治疗的患者。对于人感染新亚型流感(如尚未广泛传播,且致病性、病死率或重症风险尚未明确的甲型流感病毒亚型)的感染者,即使未完全符合上述重症流感的判定标准,也应被视为重症流感病例。
二、科学预防:筑牢健康防护墙
1.疫苗接种:最有效的防护盾,建议6月龄及以上人群每年接种流感疫苗,最佳接种时间为每年10月底前,现在接种仍能提供保护,尤其推荐高危人群和医务人员接种。
2.日常防护:细节决定健康,勤洗手:使用肥皂或洗手液,流动水冲洗至少20秒;戴口罩:在人群密集场所或接触呼吸道症状患者时;保持通风:每天室内通风2-3次,每次不少于30分钟;增强体质:适量运动,均衡饮食,充足睡眠。

3.治疗:对于无高危因素的流感患者,临床多表现为轻症,一周内可自行缓解,但部分患者症状持续时间较长,影响生活质量。对于确诊或疑似的非重症、且无高危因素的流感患者,在起病48h以内启动抗病毒治疗可缩短症状缓解时间。
4.用药选择:抗病毒药物用于暴露后预防的核心原则是保护具有高危因素的人群。对于存在高危因素的人群,若无法接种流感疫苗,奥司他韦和玛巴洛沙韦均可降低症状性流感的发生率。

三、精心护理:正确应对不慌张,如果出现流感症状,请记住以下几点:
1.及早就医,规范治疗发病48小时内使用抗病毒药物效果最佳,请遵医嘱用药,勿自行使用抗生素(对病毒无效);密切关注病情变化,如出现呼吸困难、胸痛、持续高热不退等情况应立即就医。
2.家庭护理要点
隔离休息:患者应单独居住一室,使用独立餐具;
体温管理:高热时可使用物理降温(温水擦浴)或遵医嘱使用退热药;
充足饮水:每日饮水量不少于2000ml,保持尿色清亮;
营养支持:选择易消化、富含维生素的清淡饮食;
症状缓解:咽痛可用温盐水漱口,鼻塞可使用生理盐水喷鼻。
3.特别关注高危人群 密切观察老年人、儿童和慢性病患者的病情变化,确保他们按时服用原有基础疾病药物,如出现精神萎靡、拒食、呼吸困难等危险信号,立即就医。
四、特别提示:关爱他人,保护自己。如果您或家人出现流感症状,请:尽量避免带病上班、上学;咳嗽或打喷嚏时用纸巾遮掩口鼻,纸巾使用后妥善丢弃,减少非必要的外出和聚会,告知近期密切接触者,让他们提高警惕寒冬虽冷,关怀常暖。
五、感染科的“优护”承诺:在这个流感高发季,我们感染科已经做好了充分准备:
优化门诊就诊流程:开设发热门诊,感染科门诊,减少交叉感染风险,确保患者及时就医;
优化住院就诊流程:分区同病种安置患者,严防院内交叉感染的发生;开展床旁结算,让患者少跑路;
提供专业指导:医护人员将为每位患者提供个性化的护理建议;
加强健康教育:通过宣传栏、健康讲座等形式普及流感防治知识;
心理支持服务:关注患者及家属的心理状态,提供必要的心理疏导。

感染科全体医护人员将始终与您并肩作战,共同抵御流感侵袭。让我们用科学的方法保护自己和家人,用温暖的关爱守护您和家人的健康。如有任何疑问或需要帮助,请随时通过医院官方渠道联系我们。祝您和家人都能健康、平安地迎接新的一年!抵御流感,我们与您同在!

供稿人:感染科 付加红
